クマの治療って眼窩という目玉の入っているくぼみの中の治療というイメージ。しかし、目があれば、鼻もあり、口もあるわけでして、そこに繋がる皮膚にはシワたるみという悩みが存在します。
クマの治療って脂肪取ったり、眼輪筋の引き締め、毛細血管の処理くらいです。チークあたりの斜めに走るシワこそ、たるみ毛穴と呼ばれたりします。

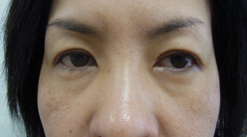
術前です。
少し、シワが斜めに目立っています。チークあたりのいわゆるたるみ毛穴という状態。頬骨付近への治療を計画。

手術直後です。
腫れも最小限、内出血もほとんどありません。
頬骨付近へのボリューム回復とリフティング効果でチークあたりの毛穴は改善しました。

手術後1週間です。
頬に斜めに横切る深いシワは改善しました。

笑っていただいて、撮影いたしました。
涙袋がはっきりして、若返っていただけました。

お客様に最適な施術をご提案いたします。
お悩みをお聞かせください。 お客様おひとりおひとりに合わせたご提案をいたします。
レティシアクリニック公式LINEのトークよりご予約できます。






