グラマラスライン形成。下眼瞼下制とかいうこともありますが、目的はまぶたの形をアーモンド形に整えるであったり、目尻側を下げる垂れ目作りだったり、ご要望というのはその方のご希望で異なるものですが、瞳の窓といえる瞼裂、この幅を拡大して、黒目、白目ともに強調してあげる、、そんな治療です。

治療前。
今回は中央から気持ち外側にかけてを下げるわけですが、マイルド変化です。

治療後5日です。
白目の見え方が変わり、黒目も大きくなりました。少し目尻側に内出血。申し訳ございません。

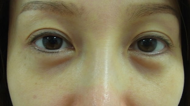
治療前。
少しだけ吊り目なのです。

治療後5日。
お分かりになるでしょうか。中央から少しだけ外側にかけて、下制させています。



目の下の印象が少しではありますが、明るい感じになっています。
40代以降の方にはこのくらいの変化がよろしいと思います。(個人のご要望に応じるのが一番ではございますが、、、。)






