目の上のくぼみは年齢と共に深くなりますね。
本日も同じお悩みの方にお越しいただきましたが、とりあえず簡単なヒアルロン酸の注入でお受けになる方がほとんどです。
しかし、ヒアルロン酸は水の中で沈む、、つまり水より重い、比重の高いもの、、、それに対して、脂肪注入で用いる遠心分離後の柔らかく、光沢感のある自己脂肪は水の中で浮かびます。つまり、比重の軽いもの、脂肪注入には洗練された注入テクニックが必要かもしれませんが、異物感の少ない生体フィラーなのです。
手軽なヒアルロン酸もいいけど、入れてしまえば違和感の少ない脂肪注入治療もいいものなのですが、、、
腫れや内出血のリスクが皆無というわけにはいきませんので、お休みを利用しての治療計画となります。

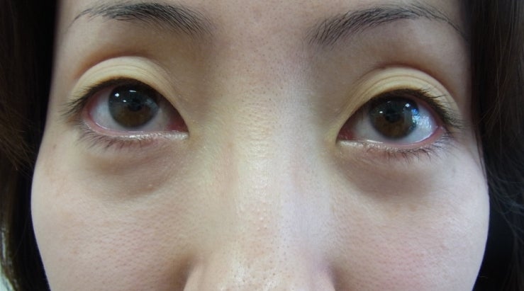
脂肪注入の治療前。
美しい瞳の持ち主です。二重治療もお勧めいたしましたが、ご本人のご要望はくぼみの改善のみでした。

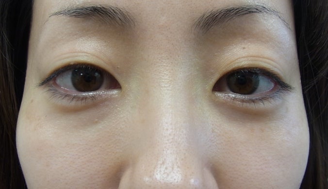
治療後半月ほど。
とろんとしたまぶたはシャッターの切るタイミングでこのような画像ですが、十分な開瞼もあります。
くぼみの改善は腹8分目といったところ、あまり腫れぼったいイメージにならないように工夫した結果です。

左まぶたの治療前。

治療後の左まぶた。
やっぱりとろんとしたまぶたですが、開瞼能力は問題ございません。
二重治療をお勧めしたいところですが、ご本人のご要望でいつでもお受けしたいと思います。



カメラのレンズを直視させすぎてしまいました。
もう少し上方視で比較画像を提示したかったなと思っています。
意外と知られていませんが、脂肪注入による上まぶたのくぼみ改善は自然で異物感が少ないよということなのです。
お悩みの方は、ご相談くださいませ!
症例モデルをお引き受けいただきまして、誠に有難うございました。






