①美容外科医。村井高志。。美容整形外科・美容皮膚科 東京銀座 レティシアクリニック
①美容外科医。村井高志。。美容整形外科・美容皮膚科 東京銀座 レティシアクリニック

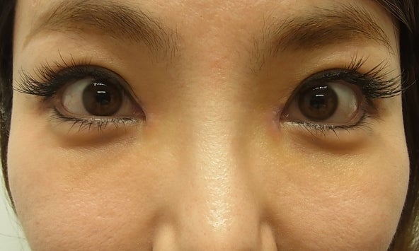
目の印象を強くするには、いわゆるデカ目が分かりやすい変化です。黒目、白目の面積をとにかく大きく見せるというもの。下垂があれば、まぶたの開きを改善させて大きく開くように変化させますが、この度のお客様はもともとまぶたの開きは良すぎるくらい、、なので、邪魔な蒙古襞を取り除き、上まぶたは開きやすく目を大きくさせます。下まぶたは腱板組織を下方に引き下げて、大きな目を実現としました。

⬇️

①美容外科医。村井高志。。美容整形外科・美容皮膚科 東京銀座 レティシアクリニック

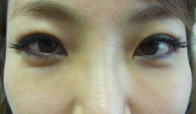
治療後5日。抜糸の処置でお越しいただいております。傷跡分からないくらいなんですよ。上まぶたはよく開いています。

グラマラスラインは本当に控えめ。。

⬇️

①美容外科医。村井高志。。美容整形外科・美容皮膚科 東京銀座 レティシアクリニック

左の画像は少し開きすぎているように見えちゃいますが、実は意外と自然です。

①美容外科医。村井高志。。美容整形外科・美容皮膚科 東京銀座 レティシアクリニック
①美容外科医。村井高志。。美容整形外科・美容皮膚科 東京銀座 レティシアクリニック

⬇️

カメラ目線になりすぎてしまいまして、寄り目になっちゃいました。が、意外や自然な変化に落ち着きました。